
患者さまそれぞれの状態に合わせ、当院独自で薬剤を調合。
白く美しい歯に変えていきます。
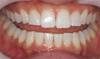
◇時間をかけてじっくり白く
当院のホワイトニングはホームホワイトニングです。
1日ですぐ白く!!とはいきませんが、ゆっくりゆっくり確実に白くしていきます。
その方が歯には良いのです。後戻りも1日で行ったホワイトニングに比べるとぜんぜん違います。
歯の白さもご自分で確認しながらお好みの白さまでホワイトニングすることができます。
■ホワイトニング治療費:31.500円(税抜)〜(片顎・リテーナー代含む)
◇医院で手軽にホワイトケア
歯のクリーニング、メンテナンスで通われている、お口の中が綺麗な状態の方にお手軽なホワイトニングをいたします。
■ホワイトケア治療費:5.250円

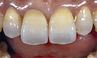
審美歯科はいわゆる「歯のエステティック」。
ラミネートベニア、オールセラミック等、素早く、手軽に美しい笑顔をつくることができます。
自分の歯と同じ「色調」
透明感のある「質感」
歯グキも境目も「きれい」

たいていの場合、かぶせ物の中に歯の根を利用した土台を立てて歯を補強するのですが、
今までは金属を使用するしかありませんでした。
しかし最近になって土台も白いのもでできるようになりより透明感が出せるようになりました。
■詰め物治療費: 30,000円〜
ページトップへ戻る
|