
内科的歯周病治療とは、これまでとは違った新しい考え方で、お薬で歯周病を治す治療です。
みなさんは、朝起きたときにお口の中がねばねばしたり、歯ぐきから血が出て気持ち悪かったり、お口の中がまずいと感じたことはありませんか?その症状はこれらの菌が原因で、口臭や歯周病・むし歯の原因でもあります。
現在の歯周病治療は外科的な処置が主流でした。しかし、それでは歯科医師だけでなく患者様自信が治療に対して積極的に取り組まなければ最良の結果は得られませんでした。むし歯を治療してもこれらの菌がいる以上環境は変わらないのでまた虫歯になる。この繰り返しです。
それをもっと簡単に苦痛を伴わずに治療できないかということで生まれたのが「内科的歯周病治療」です。お薬を飲むことでお口の中で悪さをする細菌を除去し環境を改善することでむし歯や歯周病になるのを防ぐことを目的としています。
歯周病は様々な全身病を引き起こすことも最近では医学的にわかってきています。
肺に入れば炎症を起こし肺炎に、歯ぐきの出血により血管を通して心臓に入れば心筋梗塞、動脈硬化、そのほかにも食道癌、糖尿病、高血圧などにも関与しています。
歯周病の人はそうでない人と比べて3倍も心臓病になりやすいというデータも出ています。
また女性であれば早産、未熟児の確立が7倍になると発見されています。
当院では初診時に位相差顕微鏡を使い、ご自身のお口の中の細菌状態をご確認していただき、お口の治療をすることは全身を治療するのと同じということを多くの方にご理解いただくため、詳しくご説明をさせていただいております。

再生ボタンを押すと、動画が始まります。

 |
 |
 |
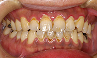
初診時 |
|
歯周内科治療終了時 (治療を始めてから2週間後) |

歯を丁寧にクリーニングし、タバコや茶シブの汚れを除去。
さらに歯の表面の細かな傷を埋めてなめらかにします。
虫歯・歯周病予防にも大きな効果があります。
歯周病の予防には、歯ブラシで歯と歯肉の隙間を磨くことが一番!ということは皆さんご存知だと思います。
しかし最近もう1つ歯周病や虫歯の予防に大変役に立つことがこの「PMTC」(Professional Mechanical Tooth Cleaning)だと言われるようになりました。
「PMTC」を簡単に説明すると、毎日の自分で行なう歯磨きで落ちない歯の汚れを専用機器を用いてきれいにクリーニングすることです。
毎日、知らず知らずのうちに磨き残してしまった部分や歯ブラシでは磨くことができない歯周ポケット(歯と歯肉の間のみぞ)内の歯の根の部分もキレイに磨き上げて汚れを取り除きます。歯石を取るような治療ではなくあくまで心地よい範囲の刺激で行なわれます。
汚れを取って磨くだけなら、自分の歯磨きと大きな違いは無い様ですが、歯磨きで落とすことができない汚れがあります。これは、「バイオフィルム」といってこびり付いた状態の細菌の塊で、歯周病や虫歯の温床になってしまうため、研磨剤や専用機器を使用して磨き落とすと歯周病や虫歯の予防には大変効果があります。3ヶ月に一度のPMTCをお勧めします。

ティーカップと同じように、歯は使っているうちに、汚れがつきやすく、落ちにくくなってしまいます。汚れや輝きがなくなってしまう大きな原因は、歯の表面についた目に見えないミクロの傷です。
「歯のトリートメント」は、傷のついた部分と同じ成分を補給・修復して、自然に輝くキレイな歯にします。
プロのスタッフが、専用のトリートメント剤で歯と同じ成分を補給し、汚れや着色のつきにくい、自然に輝くツルツルの歯にします。
削るのではなく、傷を埋めてなめらかにするので、歯に負担をかけず、痛みもありません。
受けるほど、歯が美しく健康になります。
お口の状態をチェックしながら、全身の健康を視野に入れたカウンセリングも行っております。気になることがございましたらお気軽にご相談ください。
 |
当院では患者さまそれぞれのお口に合った数種類のペーストを用いて順に磨き上げていきます。
それぞれのペーストにはフッ素が入っており、磨きながら歯を強くしていきます。さらにトリートメントを行うことで歯表面の細かな傷を埋めて補修・再石灰化をさせることによりプラーク(細菌のかたまり)や色素沈着の起こりにくくなる歯を作り上げていきます。
効果は個人差がありますので定期的に行っていくことをオススメしています。 |
 |
■歯のトリートメント治療費:1回/5,000円
 |
- 妊婦さんと歯周病のお話
-
妊娠すると、エストロゲンという女性ホルモンが増え、歯グキのトラブルが起こりやすくなります。女性ホルモンの影響で、普段は害のない細菌が増え、炎症を起こしてしまうためです。さらにつわりにより歯磨きがおっくうになってしまうと、炎症を起こす最近がさらに増えて歯周病になってしまいます。
痛みやハレなどがなくても、歯科医での検診受けて、健康なお口で丈夫な赤ちゃんを産みましょう。
- 母子感染のお話
-
虫歯菌は固いところにしか住めないため、生まれたばかりの赤ちゃんの口腔内にはいません。もっとも移りやすいのは生後6ヶ月から3歳ごろ。特に2歳前に感染してしまうと、将来虫歯になる可能性がぐんと高くなってしまいます。
虫歯菌の感染ルートはひとつだけ、人から人へ、唾液による感染のみです。なかでもママから赤ちゃんへの感染が多く、これを“母子感染”と呼びます。
赤ちゃんにごはんを食べさせる際、味見や温度を確かめるために親子でひとつのスプーンを使用していませんか?こうして虫歯が唾液感染してしまうのです。
|
 |
悪いところは治療しておこう。
キシリトールをとろう。
正しい歯磨き方法を身につけよう。
ページトップへ戻る
|